Skip to content
Contact Us
Shop
National Loon Center Foundation
Contact Us
Shop
Loon Pontoon Tours
Events
Loon Calling Contest
Get Involved
Volunteer
Adopt-a-Loon
Report Dead/Injured Loon
Learn
The Common Loon
Share Our Shoreline
Loons & Lead
Ask the Scientist
About Us
Meet the Team
Donate
Contact Us
Shop
Search
Loon Pontoon Tours
Events
Loon Calling Contest
Get Involved
Volunteer
Adopt-a-Loon
Report Dead/Injured Loon
Learn
The Common Loon
Share Our Shoreline
Loons & Lead
Ask the Scientist
About Us
Meet the Team
Donate
Open Search
Search for:
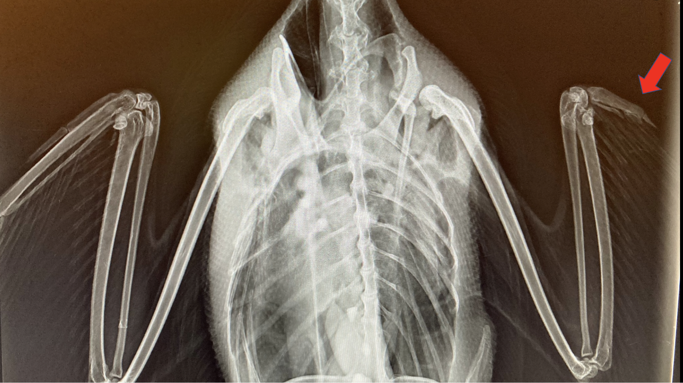
x-ray-Wild-and-Free